Новости общества
19.02.2026
В Новосибирске перед судом предстанет бывший начальник департамента земельных и имущественных отношений мэрии Георгий Жигульский. Его обвиняют в нескольких эпизодах взяточничества - получении дорогих аксессуаров за покровительство бизнесу и сомнительных сделках с городской землей, которые стоили бюджету более миллиарда рублей.
19.02.2026
23 февраля — это священный День защитника Отечества, когда вся страна адресует особые слова благодарности и поддержки тем, кто сейчас на передовой отстаивает честь и суверенитет нашей Родины. Мы собрали для вас подборки поздравлений в открытках, стихах и прозе для всех причастных к этому празднику.
19.02.2026
Советский райсуд удовлетворил иск СО РАН о выселении семьи Асеевых, сообщает паблик «Суды общей юрисдикции Новосибирской области».
18.02.2026
Пожилой жительнице областного центра в прошлом месяце в отделении Почты России выдали пенсию наличными. Но не все купюры оказались настоящими.
18.02.2026
Новая поликлиника в Бердске – продолжение большой программы по ремонту и строительству медучреждений в Новосибирской области.
18.02.2026
Хулиганка вела себя как персонаж песни Высоцкого, который «то плакал, то смеялся, то щетинился как ёж».
18.02.2026
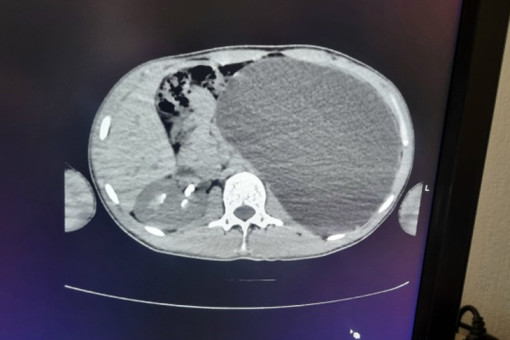
До проведения медосмотра патология никак не проявлялась — 17-летний парень юноша чувствовал себя здоровым и никогда не жаловался на проблемы с почками. После того, как в кабинете УЗИ было выдано заключение: «объемное образование, размер невозможно измерить, левой почки нет», пациент сразу был направлен в стационар детской городской клинической больницы № 1.
18.02.2026
Исследователи в Новосибирске разрабатывают новую линейку функциональных леденцов на основе натуральных компонентов. Новые леденцы создаются с ориентиром на принципы здорового питания.
18.02.2026
Региональный центр компетенций в сфере производительности труда Новосибирской области успешно завершил процедуру супервизии тренеров – первого этапа обязательной сертификации центров компетенций в сфере производительности труда.
18.02.2026
Президент России Владимир Путин подписал указ о назначении судей в Новосибирской области.
17.02.2026
Изменение режима связано с регулировкой потока посетителей и организацией работы персонала, а также с увеличением светового дня.
17.02.2026
Пенсионерка Татьяна Химич решилась на радикальную операцию в 81 год. Женщине тотально удалили опухоль мозга под нейронавигационным контролем.
17.02.2026
Пешеходные дороги, а также лестницы и переходы необходимо отчистить до конца оттепели. Такую задачу поставил мэр Новосибирска Максим Кудрявцев.
Новости
-
Новосибирец отказался назвать фамилию после выигрыша 12 млн рублей в лотерею
-
Новосибирские школьники одержали первые победы в финале Национальной технологической олимпиады
-
В Новосибирске юрист за год заработал 53 миллиона рублей на ОСАГО
-
Новосибирец «заминировал» жилой дом с ПВЗ популярных маркетплейсов
-
В Новосибирске полировщик завода «Искра» попал в больницу с ожогами
Новости районов
-
Под Новосибирском скрутчик открыл стрельбу из «Добрыни» по бригаде АО «РЭС»
-
Убинский район отметили за оперативность после ЧП с бортом Utair и электричкой
-
Было/Стало: под Новосибирском бродячего сенбернара стригли 6 часов 30 минут
-
Мать-кукушку в Новосибирской области повторно судят за долги перед дочерью
-
Взятка за свалку: в суд направлено дело замглавы Искитимского района
Новости партнеров
-
Как приручить нейросети: урок для студентов с «Ростелекомом»
-
«Ростелеком» представил новую платформу для трансформации ресторанного бизнеса
-
«Ростелеком» рассказал школьникам о безопасности в интернете